Nathaly Cerón Blanco 1
Jorge Molinares Carvajal 1
1. Residente de Neurología Universidad del Rosario – Fundación Cardioinfantil
Paciente de 77 años sin antecedentes conocidos quien presenta cuadro de 2 días de evolución de sensación de inestabilidad , mareo, astenia y adinamia. En domicilio se toma glucometría al azar con reporte de 243 mg/dl. Paciente se automedica tomando 20 mg de glibenclamida, presentando posterior a esta ingesta deterioro de conciencia hasta llegar al coma y es llevada al Hospital de Meissen donde documentan glucometría de 15 mg/dl, aseguran vía aérea, corrigen hipoglicemia con dextrosa y posteriormente remiten a Fundación Cardioinfantil.
La paciente llega con intubación orotraqueal, en coma, con pupilas 3 mm hiporreactivas, mirada primaria centrada , corneano, oculocefalogiros débiles. No respuesta motora RMT ++/++++ respuesta plantar extensora bilateral, sin signos meníngeos.
Se realiza tomografía cerebral con pérdida de diferenciación cortico subcortical temporal izquierda incipiente sin otros hallazgos. Se realizan dos punciones lumbares sin evidencia de pleocitosis ni aislamientos, proteinorraquia normal. Hemoglobina glicosilada en 5.9 % (prediabetes).
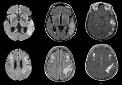
Se toma resonancia cerebral simple y con contraste con hallazgos de restricción a la difusión de predominio cortical temporoparietal bilateral, principalmente izquierdo, con extensión a insula izquierda, también representado como lesiones hiperintensas en FLAIR/T2 y con realce al contraste (Figura 1).
Figura 1
Adicionalmente VEEG de 12 horas inicial evidencia actividad de base cerebral conformada por ondas lentas theta, de mediana amplitud, difusamente distribuidas, mezclado con actividad rítmica en cuadrante posterior izquierdo frecuente la cual cambia de amplitud y frecuencia, cambios compatibles con estado epiléptico no convulsivo (Figura 2), manejado con lacosamida 200 mg cada 12 horas intravenosa.
Figura 2
Con el manejo anterior la paciente resuelve estado epiléptico y trazos control evidencian encefalopatía de expresión moderada.
Clínicamente presenta despertar progresivo, sin recurrencia de crisis. Durante evolución es alertable con el estímulo táctil, tendencia a la agitación, presenta escaso contacto con examinador, no emite lenguaje, no sigue órdenes. Moviliza las 4 extremidades. RMT ++/++++. Requiere inmovilización. Respuesta plantar extensora bilateral. No signos meníngeos.
Se documenta además trastorno deglutorio severo por lo cual requirió gastrostomía endoscópica y manejo abundante de secreciones, requerimiento de alto flujo de oxígeno por lo que requiere traqueostomía.
En manejo actual con: Lacosamida 200 mg cada 12 horas, risperidona 1 mg cada 12 h. En plan de remisión a unidad de cuidado crónico.
DISCUSIÓN
En este caso se muestra como posterior a una ingesta de una dosis alta de hipoglucemiantes con caída severa y abrupta de niveles de glicemia, se presenta un deterioro neurológico súbito con afectación del estado de conciencia, estado epiléptico y secuelas cognoscitivas, comportamentales, así como cambios en imagen documentados en resonancia cerebral.
La hipoglucemia se conoce como una disminución repentina del nivel de glucosa en sangre <50 mg/dL. La encefalopatía hipoglucémica es una encefalopatía metabólica que generalmente se observa en pacientes tratados por diabetes o alcoholismo crónico. Las manifestaciones neurológicas pueden variar desde déficits transitorios hasta coma prolongado, según la duración y la gravedad de la hipoglucemia. Las características neurorradiológicas de la hipoglucemia son variables y afectan a las regiones de la sustancia blanca y gris del cerebro. Las condiciones metabólicas o tóxicas adquiridas pueden causar daños similares a la hipoglucemia en la sustancia blanca cerebral y núcleos de la base. Las lesiones generalizadas en el parénquima cerebral o núcleo basales tienen mal pronóstico (1) .
Dado que la glucosa sirve como principal fuente de energía para el sistema nervioso, una hipoglucemia grave puede provocar la muerte neuronal. Los signos clínicos de hipoglucemia son complejos y están relacionados con la gravedad, la duración y la reactividad de los niveles de glucosa sérica. Los pacientes con Encefalopatía Hipoglucémica presentan síntomas neurológicos específicos como afasia, hemiplejía, hemianopsia y convulsiones con letargo y coma a medida que persiste la hipoglucemia (2).
El déficit de energía cerebral reduce la síntesis intracelular de proteínas, lo que provoca una disfunción de la bomba iónica de la membrana celular, lo que provoca la transferencia de agua del sector extracelular al intracelular. Esto da como resultado un edema citotóxico que afecta la sustancia blanca, los núcleos de la base, el hipocampo y la corteza cerebral. El tronco del encéfalo normalmente no se ve afectado debido al incremento de los sistemas locales de transporte de glucosa (3) .
Las modificaciones en la regulación de los neurotransmisores también son importantes en la fisiopatología de la lesión neuronal hipoglucémica. La oxidación de la glucosa produce precursores de neurotransmisores, incluidos el glutamato y la acetilcolina. El glutamato y la glutamina constituyen otra fuente de energía que conduce a la alcalosis intracelular por amoniaco y a la acumulación de aspartato en el sector extracelular, lo que puede provocar necrosis neuronal selectiva. Además, la actividad excitotóxica del glutamato se ha relacionado con el edema de las células gliales y de la vaina de mielina (4).
Las principales características neurorradiológicas reportadas de hipoglucemia son lesiones específicas de la sustancia blanca o deterioro de la sustancia blanca y gris. Las lesiones selectivas de la sustancia blanca generalmente se han informado en la corona radiada, el cuerpo calloso y la cápsula interna (5). En sustancia gris presenta afectación cortical de predominio parietal, temporal que conllevan a un mal pronóstico(6).
Las lesiones relacionadas con la hipoglucemia se presentan como hiperintensidades en las secuencias T2/FLAIR y DWI. Estas lesiones neurorradiológicas pueden ser reversibles después de la normalización de los niveles de glucosa sérica (7) aunque disminuye la probabilidad de reversibilidad dependiendo de la severidad de la hipoglicemia.
Los estudios indican que la hipoglucemia clínicamente profunda y persistente está relacionada con un mal pronóstico (

. Aún se vienen estudiando los factores pronósticos que establecen pronóstico en pacientes con encefalopatía metabólica hipoglucémica (6,9) . Dentro de los factores propuestos determinan la severidad de hipoglicemia y la afectación extensa de sustancia gris (9)como es el caso de nuestra paciente.
En cuanto al papel del trazado electroencefalográfico Los cambios en la actividad del EEG han sido bien demostrados en hipoglicemia aguda (10). Sin embargo no hay estudios que describan patrones específicos de EEG en Encefalopatía hipoglicémica. En algunos informes de caso se describe una desaceleración general de la actividad de fondo (11).
1. Hamid M, Benmoh Y, Bourazza A. Hypoglycemic encephalopathy with extensive brain injuries: A case report. Radiol Case Rep. 2023 Oct 12;18(12):44954498.doi:10.1016/j.radcr.2023.09.035.
2. Fujioka M, Okuchi K, Hiramatsu KI, Sakaki T, Sakaguchi S, Ishii Y. Specific changes in human brain after hypoglycemic injury. Stroke. 1997 Mar;28(3):584-7. doi: 10.1161/01.str.28.3.584.
3. Pelligrino D, Almquist LO, Siesjö BK. Effects of insulin-induced hypoglycemia on intracellular pH and impedance in the cerebral cortex of the rat. Brain Res. 1981 Sep 21;221(1):129-47. doi: 10.1016/0006-8993(81)91068-4.
4. Kang EG, Jeon SJ, Choi SS, Song CJ, Yu IK. Diffusion MR imaging of hypoglycemic encephalopathy. AJNR Am J Neuroradiol. 2010 Mar;31(3):559-64. doi: 10.3174/ajnr.A1856.
5. Ma JH, Kim YJ, Yoo WJ, Ihn YK, Kim JY, Song HH, Kim BS. MR imaging of hypoglycemic encephalopathy: lesion distribution and prognosis prediction by diffusion-weighted imaging. Neuroradiology. 2009 Oct;51(10):641-9. doi: 10.1007/s00234-009-0544-5.
6. Yanagawa Y, Isoi N, Tokumaru AM, Sakamoto T, Okada Y. Diffusion-weighted MRI predicts prognosis in severe hypoglycemic encephalopathy. J Clin Neurosci. 2006 Jul;13(6):696-9. doi: 10.1016/j.jocn.2005.02.027.
7. Sangare, A., Marois, C., Perlbarg, V. et al. Description and Outcome of Severe Hypoglycemic Encephalopathy in the Intensive Care Unit. Neurocrit Care 38, 365–377 (2023).
doi.org/10.1007/s12028-022-01594-0
8. Ikeda T, Takahashi T, Sato A, Tanaka H, Igarashi S, Fujita N, Kuwabara T, Kanazawa M, Nishizawa M, Shimohata T. Predictors of outcome in hypoglycemic encephalopathy. Diabetes Res Clin Pract. 2013 Aug;101(2):159-63. doi: 10.1016/j.diabres.2013.05.007.
9. Barbara G, Mégarbane B, Argaud L, et al. Functional outcome of patients with prolonged hypoglycemic encephalopathy. Ann Intensive Care. 2017.
doi.org/10.1186/s13613-017
0277-2
10. Blaabjerg L, Juhl CB. Hypoglycemia-induced changes in the electroencephalogram. JDiabetes Sci Technol. 2016;10:1259–67.
doi.org/
10.1177/1932296816659744.
11. Kim JH, Choi JY, Koh S-B, Lee Y. Reversible splenial abnormality in hypoglycemic encephalopathy. Neuroradiology. 2007;49:217–22. https:// doi.org/10.1007/s00234-006-0184-y.