Olvido el nombre de usuario?  

A propósito del Síndrome del Clippers: Reporte de caso

Más
2 años 7 meses antes #70 por Webmaster
Gustavo Luque Di Ruggiero 1, Esteban Ramirez 1, Valentina Galvis 1, Catherine García 1,
Danni Monroy 1, Nathalia Olarte 2, Sofia Delgado 2, Jose Luis Duran 2.

1.Residente de Neurología, Fundación Universitaria de Ciencias de la Salud.
2.Interno Medicina, Fundación Universitaria de Ciencias de la Salud.

Resumen:

El síndrome de CLIPPERS con sus siglas en inglés: Chronic lymphocytic inflammation with
pontine perivascular enhancement responsive to steroids, es una rara condición inflamatoria
del sistema nervioso central, caracterizada por la presencia de manifestaciones clínicas
atribuibles a compromiso de cerebelo y tronco encefálico, principalmente puente.
Usualmente se presenta con una adecuada respuesta clínica con esteroides y hallazgos
neuro imagenológicos característicos. El diagnóstico requiere la exclusión de otras
patologías y la demostración histopatológica de infiltración perivascular.

Posterior a la mejoría clínica e imagenológica, con el uso de esteroides, es importante
conocer que ante la alta probabilidad de recurrencia con el destete de esteroides se
requiere inmunosupresión de por vida.

Se describe el caso de un paciente masculino de 25 años de edad, sin antecedentes
previos, quien ingresa al servicio de urgencias por cefalea con signos de alarma asociada a
dificultad para articular la palabra así como incoordinación en sus extremidades. Se realiza
la resonancia magnética cerebral que evidencia múltiples lesiones hipointensas en T1,
hiperintensas en T2 y FLAIR con realce heterogéneo (patrón en sal y pimienta) localizadas
en puente y hemisferios cerebelosos y adicionalmente una biopsia que revela infiltrado
perivascular linfocítico.

El síndrome de Clippers es una entidad poco frecuente con alta relevancia clínica y
académica pues pocos son los casos que se conocen en Colombia.

Realizamos una revisión sistemática en la base de datos pubmed utilizando la combinación
de palabras: “ CLIPPERS case reports”, “CLIPPERS case”, encontrando 174 reportes de
casos descritos.

Palabras claves:

CLIPPERS, inflamatorio, perivascular, pontino, esteroides


Clippers Syndrome: A Case report

Abstract


CLIPPERS syndrome means: Chronic lymphocytic inflammation with pontine perivascular
enhancement responsive to steroids, it’s a rare inflammatory condition of the central nervous
system, characterized by the presence of clinical manifestations that are localized in the
cerebellum and brainstem, mostly pons. Usually presents with an adequate response to
steroids and specific neuroimaging findings. Diagnosis requires the exclusion of other
pathologies and of course the biopsy that on histology it will show perivascular infiltration.

After the adequate response to steroids, it is important to know that due to the high
probability of recurrence with the tapering of steroids, it typically requires lifelong
immunosuppression.

This is a case regarding a 25-year-old male patient, with no pertinent past medical history,
presenting to the emergency department with a headache with red flags, difficulty articulating
words and additionally incoordination of his extremities. Magnetic resonance imaging was
done and there was found multiple hypointense lesions in T1, hyperintense in T2 and Flair
with enhancement (salt and pepper pattern) localized in the pons and cerebellar
hemispheres. Biopsy was also done, finding a lymphocytic perivascular infiltrate.

Clippers syndrome is a rare entity with high clinical and academic relevance, since few
cases are known in Colombia

We also carried out a systematic review in the pubmed database using the word
combination: “ CLIPPERS case reports”, “CLIPPERS case”, finding 174 case reports
described.

Keywords:

CLIPPERS, inflammatory, perivascular, pontine, steroids

Reporte de caso

Paciente masculino de 25 años con sintomatología consistente en cefalea hemicraneana de
intensidad 9/10, con lateralidad variable, de carácter opresivo, no asociado a fotofobia,
fonofobia con presencia de alteración para la articulación de la palabra, alteración de la
coordinación en 4 extremidades. El examen neurológico documenta disartria escandida,
limitación para la abducción del ojo izquierdo, dismetría y adiadococinesia de 4
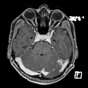
extremidades, marcha atáxica. La RNM de cerebro simple y contrastada evidencia múltiples
lesiones hipointensas en T1, hiperintensas en T2 y FLAIR con realce heterogéneo (patrón
en sal y pimienta) localizadas en puente y hemisferios cerebelosos. LCR documenta
pleocitosis, hiperproteinorraquia y bandas oligoclonales patrón 4. Film array y citometría de
flujo negativas en LCR. Se inició tratamiento con metilprednisolona con mejoría significativa
de la sintomatología, a los pocos días del inicio. Se llevó el paciente a biopsia de lesión
cerebelosa qué muestra infiltrado perivascular linfocítico. Se administró primera dosis de
ciclofosfamida y se dio egreso a paciente con esquema de esteroide oral.


PARACLÍNICOS

-Filmarray en LCR negativo,
-VHA Ac totales negativo, VHZ IgG positivo IgM negativo
-Anticuerpos de hepatitis C no reactivo, HBSAg no reactivo, anticuerpo central core
hepatitis B dudoso, anticuerpos de superficie de hepatitis B no reactivo
-LCR leucocitos: 7xmm3, hematíes: 5xmm3, hematíes frescos: 100%, Glucosa LCR 53
mg/ml (índice 0. 55), proteínas LCR 101 mg/dl.
-HEMOCULTIVO ANAEROBIO negativo par 72 horas
-Anti AQP4 IgG e IgM en suero negativos
–glucosa en suero 100 mg/d. LCR: glucosa 48 (índice 0. 48), proteínas 70, transparente,
leucocitos 5xmm3, hematíes 3xmm3, frescos 100%. Gram no se observan bacterias, tinta
china negativa, serología no reactivo.
-BOC: Patrón tipo 4.
-VIH negativo,
-RPR negativo
-hemograma leucos 7900 neutros 6200 linfos 1000 plt 273 mil hb 18 hto 53
Tabla 1


Figura 1

Figura 2

Figura 3

Figura 4

Discusión

La inflamación linfocítica crónica con realce perivascular pontino que responde a los
esteroides (CLIPPERS) es una encefalomielitis tratable, inflamatoria subaguda, la cual
predominante del tronco cerebral es una condición relativamente reciente descubierta. (3)
Los criterios de diagnóstico clínico son los siguientes:
a.Disfunción pontocerebellar subaguda,
b.Síntomas del SNC que responden a la terapia con corticosteroides,
c.Ausencia de enfermedad del sistema nervioso periférico
d.Falta de una explicación alternativa.(4)


CLÍNICA:

CLIPPERS no cuenta con ningún patrón clínico o signos o síntomas patognomónicos. Las
características más comunes incluyen signos y síntomas del tronco encefálico (los más
comunes están representados por ataxia, diplopía, parestesia facial), que se mejoran con
corticosteroides (6). Sin embargo, se puede ver afecciones adicionales, se puede
evidenciar afecto pseudobulbar, tinnitus, nistagmo, temblor, también se han documentado
signos de motoneurona superior. Tiene un tiempo de evolución de semanas a meses.
Cuenta con una mediana de edad de 45.5 años, con un rango de edad de 16 a 86 años, sin
predicción entre género. Otro tipo de hallazgos clínicos menos usuales como neuropatía
óptica, convulsiones, síntomas sistémicos. (3)

LABORATORIO:

En el momento no se han descubierto marcadores séricos específicos para CLIPPERS, la
toma de laboratorios se usa más con el fin de descartar diagnósticos diferenciales como
VIH, vasculitis, astropatias por proteína ácida fibrilar autoinmune (GPAF). Tampoco hay
anomalías específicas del líquido cefalorraquídeo , el hallazgo más común es una elevación
leve en proteínas. Las bandas oligoclonales se encuentran elevadas en algunos casos. (3)

NEUROIMAGEN

El gold standard es la resonancia magnética de cerebro que puede evidenciar en puente
muestran imágenes puntiformes con aspectos de "sal y pimienta" o curvas con absorción de contraste. (6) Este tipo de lesiones son de mayor predominio puente, pero se pueden
evidenciar en otras regiones SNC, como cerebelo. (5). Este tipo de lesiones no suelen ser
mayor a 3 mm de diámetro, con un patron de distribución el cual disminuye en número al
alejarse de la protuberancia, pero pueden extenderse al cerebro y médula espinal.(3)

Los criterios de imagen incluyen los siguientes:
1.Nódulos homogéneos que mejoran el gadolinio sin realce del anillo ni efecto de
masa que predominan en el puente y el cerebelo, que miden <3 mm de diámetro
2.Mejora marcada con el tratamiento con corticosteroides
3.Anormalidad homogénea de la señal T2
4.Lesiones de la médula espinal con lesiones similares que mejoran el T2 y el
gadolinio. (6)

NEUROPATOLOGÍA:

Al realizar biopsia se ha revelado regularmente una infiltración de los espacios
perivasculares y parenquimatoso por las células T (6) (una mayor relación CD4/CD8) (3).
microglía activa, histiocitos CD68 positivos y un menor grado de linfocitos B CD20
positivos. (3)

Los criterios neuropatológicos incluyen los siguientes:
1.Inflamación linfocítica densa con predominio perivascular e infiltración difusa
parénquima
2.Infiltración predominante de células T (CD4 > CD8) con componentes de macrófagos
variables
3.Ausencia de pérdida de mielina o pérdida de mielina secundaria focal
4.Falta de una mejor explicación alternativa. El líquido cefalorraquídeo no suele ser
contributivo. (6)




CD45

CD20

CD3


CRITERIOS DIAGNOSTICOS


1. Clínica
a) Disfunción pontocerebelosa subaguda, con o sin otros síntomas de SNC tales cómo disfunción cognitiva y mielopatía
b) Síntomas de SNC qué responden a esteroides
c) Ausencia de enfermedad del sistema nervioso periférico
d) Ausencia de mejor explicación para la presentación clínica
2. RNM
a. Nódulos homogéneos realzados con gadolinio sin realce anular ni efecto de masa que predominan en la protuberancia y el cerebelo, midiendo < 3 mm de diámetro.
b. Mejoría marcada en el realce anormal de gadolinio con tratamiento con corticoster oides.
C. Anormalidad de la señal T2 homogénea donde el grado de T2 no excede significativamente el tamaño del área de realce posterior al gadolinio.
d. Lesiones de la médula espinal con T2 y lesiones realzadas con gadolinio similares a las anteriores.
3. Neuropatología
a) a. Inflamación linfocítica densa de predominio perivascular e infiltración parenquimatosa difusa; tanto la materia blanca como la materia gris podrían estar involucradas.
b) b. Infiltración predominante de linfocitos T (CD4 > CD8) con componentes macrófagos variables.
c) C. Ausencia de pérdida de mielina o pérdida de mielina secundaria focal.
d) d. Falta de una mejor explicación alternativa para la presentación patológica.
e) CLIPPERS definitivo: Paciente que cumple todos los criterios clínicos, radiológicos, criterios neuropatológicos.
f) CLIPPERS probables: Pacientes que cumplen todos los criterios clínicos y radiológicos sin neuropatología disponible


TRATAMIENTO DE LOS ATAQUES


Es obligatorio descartar diagnósticos alternativos, ya que algunos de estos son contraindicación para el inicio de esteroides. El tratamiento de elección es un curso corto de pulsos de metilprednisolona, iniciado tan pronto cómo es posible. (7) Ocasionalmente requiere la administración de 10 días antes de alcanzar mejoría clínica. Usualmente no hay mejoría hasta el inicio del tratamiento.

TRATAMIENTO DEL PERÍODO LIBRE DE RECAÍDAS

Después del tratamiento con dosis altas de esteroides, usualmente se continúa el manejo con dosis de prednisolona, en destete gradual. La prednisona oral es usualmente iniciada a 1 mg/kg por 4 a 8 semanas y posteriormente se reduce la dosis de manera lenta. (10 mg cada semana hasta 20 mg/dia y posteriormente 2.5 mg cada 4 semanas hasta 10 mg entonces 1 mg cada 4 semanas hasta 5 mg día). Se recomienda uso concomitante de bifosfonato, calcio y vitamina D para la prevención de osteoporosis inducida por esteroides.


Se recomienda qué al alcanzar la dosis de 5 mg al día de prednisona, se analicen los niveles siervos de cortisol sanguíneo, antes de detener definitivamente la terapia corticosteroidea, lo anterior con el objetivo de prevenir la insuficiencia adrenal

Se debe monitorizar periódicamente la respuesta al tratamiento, mediante la realización de examen físico y toma de RNM de cerebro, especialmente cuando la dosis de esteroides se encuentre por debajo de 20 mg día. La progresión radiológica puede preceder las manifestaciones clínicas incluso en la ausencia de síntomas o signos clínicos por lo qué se recomienda incluso en pacientes asintomáticos.


1. Terapia aguda en casos qué cumplen 4 de 5 criterios de CLIPPERS
– Pulsos de metilprednisolona 1 gr IV/dia durante 5 dias seguido por prednisona oral 1 mg/kg/dia durante 1 mes

– Two or four weeks from starting treatment: clinical improvement and
vanishing of enhancing lesions should be observed.

-2 a 4 semanas
2. Terapia durante “períodos libres de recaída” - Destete oral de prednisona: descender 10 mg cada 2 semanas hasta alcanzar dosis de 20 mg/día, posteriormente 2.5 mg cada 4 semanas hasta 10 mg dia, posteriormente descender 1 mg cada 4 semanas y adicionar medidas preventivas farmacológicas de osteoporosis
-En la ausencia de contraindicaciones, metotrexate oral 10-15 mg/semana (asociado a ácido fólico) debe ser iniciado 4 a 6 semanas antes de disminuir la prednisolona por debajo de 20 mg/día y continuar el metotrexato por al menos 2 años

3. Terapia alterna a metotrexate (Intolerancia o contraindicación)

- Azatioprina 150 mg/dia combinado con prednisona oral por encima de 20 mg dia durante 3 a 6 meses antes del destete de prednisona y continuar azatioprina durante al menos 2 anos
-Ciclofosfamida 1 g/mensual combinado con dosis de prednisona mayores a 20 mg dia durante al menos 6 meses
-Hidroxicloroquina 400 mg / dia combinado con dosis de prednisona ≥20 mg/dia durante 1 mes antes del destete de prednisona y continuar hidroxicloroquina durante al menos 2 años


4. Fallo terapéutico a metotrexate con prednisona ≥20 mg/dia

- Si no hay un diagnóstico alternativo se debe reinstalar el tratamiento con esteroides como se describió en puntos 1 y 2.
-La terapia inmunosupresora de elección podría ser metotrexate podría ser metotrexate con una dosis mas alta de 20-25 mg / semana u otro agente ahorrador de esteroides propuesto en el punto 3


5. Recaídas con metotrexate con prednisona 20 mg/dia o sin prednisona

-Cuestionarse el diagnostico de CLIPPERS
-Si no hay diagnostico alternativo el tratamiento debe ser reiniciado acorde a los descrito en los puntos 1 y 2 excepto para metotrexate. La elección de terapias inmunosupresoras podría ser con metotrexate a dosis mas alta: 20 - 25 mg/semanal u otro agente ahorrador de esteroides propuesto en el punto 3


Conclusión

El síndrome de CLIPPERS es una entidad clínica inflamatoria del sistema nervioso central de baja prevalencia, la cuál debe considerarse cómo un diagnóstico diferencial en los pacientes qué presenten cuadros de ataxia y manifestaciones de tallo progresivas, ya qué su diagnóstico oportuno permite el inicio temprano y el mantenimiento de terapia inmunosupresora.

Declaración de conflictos de intereses

No declaramos conflicto de intereses

Referencias

1. Mustafa Al-Chalabi; Multiple Sclerosis and Related Disorders; 2022
2. W Oliver Tobin; Brain; 2017
3. Nicholas L. Zalewski, Current Neurology and Neuroscience Reports; 2017
4. Brent Berry, life, 2021
5. Mariana S L Pessoa; Neurology india; 2022
6. Any Docu Axelerad Exp Ther Med. 2021
7. Guillaume Taieb; Curr Treat Options Neurol; 2017
Adjuntos:

Por favor, Identificarse para unirse a la conversación.

Moderadores: Jorge Mario Gaspar ToroJuan Pablo Ovalle Rojas
Gracias a Foro Kunena