Olvido el nombre de usuario?  

Caso clinico universidad el bosque encefalitis autoinmune

Más
2 años 7 meses antes #69 por Webmaster
Juan Sebastian Aguirre 1, Lisseth Burbano 2, David Cuellar 2, Julian Mancera 2, Thomas
Medina 2, Estefania Rojo 2, Vanessa Salej 2, Laura Serna 2, Ana Claudia Villegas 2, María Paula Zafra 2.

1. Médico interno, Universidad de los Andes.
2.Residente de neurología, Universidad el Bosque.

Resumen
La encefalitis autoinmune es una causa poco frecuente de consulta a los servicios de urgencias. Se caracteriza por cambios cognitivos y afectivos y puede debutar con crisis epilépticas de muy difícil control. En el siguiente artículo se presenta el caso de un paciente joven que ingresa a urgencias de una institución de cuarto nivel tras presentar una primera crisis epiléptica seguida de un deterioro rápido de su esfera mental y un aumento progresivo del número de crisis al punto de requerir sedación profunda cuyos paraclínicos iniciales no sugerían una encefalitis autoinmune como causa de su cuadro. Por último, se discutirá brevemente el estado del arte en encefalitis autoinmune en relación con el caso presentado y se entregarán al lector cortas conclusiones que le permitan identificar los aspectos más importantes para la detección y el manejo de esta patología.

Presentación del caso:
Hombre de 23 años, estudiante universitario, sin antecedentes médicos relevantes, ingresa a la institución en la madrugada del 16 de mayo de 2023 tras presentar una crisis epiléptica descrita inicialmente de características tónico-clónicas. Al ingreso el paciente se encontraba en buenas condiciones generales y sin déficit neurológico. Se decide iniciar estudios y en videotelemetría de 12 horas se documenta una crisis caracterizada por un grito ictal seguido por versión de la mirada a la derecha y generalización tónico-clónica. Por lo tanto, se administra un bolo de lacosamida 200 miligramos seguido de 150 miligramos cada 12 horas. Por su parte, finalizado el estudio anterior, se realiza resonancia magnética en resonador de 3T con protocolo de epilepsia y, dado que el paciente había reportado síntomas gripales en la semana anterior, punción lumbar en búsqueda de signos característicos de neuroinfección. Sin embargo, ambas ayudas diagnósticas fueron encontradas dentro de límites normales.

El paciente presenta tres nuevos episodios en los que adicionalmente a la semiología enunciada se encuentra trauma lateral de la lengua y agitación post ictal marcada; además, la familia refiere que lo empiezan a percibir más agresivo. Por lo tanto, se adiciona levetiracetam 1000 miligramos cada 12 horas y diazepam 10 miligramos al día. El 19 de mayo, se conecta nuevamente a videotelemetría en la que, aunque no se aprecian nuevas crisis, se encuentra una actividad de extreme delta brushes que podría corresponder con el diagnóstico de encefalitis autoinmune.



Ilustración 1: Actividad "extreme delta brushes" identificada en la segunda videotelemetría del paciente.

Para el día 19 de mayo en la noche se inician pulsos de metilprednisolona 1000 miligramos al día por cinco días y se realizan paraclínicos de extensión en búsqueda de malignidades que, a través de un síndrome paraneoplásico pudiesen explicar la sintomatología del paciente; tanto la tomografía por emisión de positrones como la ecografía testicular fueron
negativos para malignidad.

Entre el 20 y el 21 de mayo el paciente presenta múltiples episodios convulsivos a pesar del
manejo con lacosamida 150 miligramos al día, levetiracetam 1500 miligramos dos veces al
día y lorazepam 2 miligramos al día. Por ende, es llevado a la unidad de cuidado intermedio
neurológico para vigilancia. Además, se empiezan a identificar nuevos cambios en la esfera
mental del paciente, los múltiples profesionales que lo visitan reportan bajo seguimiento instruccional, pobre producción de lenguaje espontáneo y apatía. Para el día 22 de mayo el
número de crisis sigue en aumento por lo cual se cambia el levetiracetam por brivaracetam
100 miligramos cada 12 horas, se adiciona topiramato 100 miligramos dos veces al día y se
incrementa la dosis de lacosamida a 200 miligramos cada 12 horas. Así mismo, dado que el paciente persiste deteriorándose, el 23 de mayo se inicia inmunoglobulina humana 0.4 miligramos por kilogramo cada día en paralelo con los pulsos de metilprednisolona. Por otro
lado, se realiza una nueva punción lumbar y se toman anticuerpos anti NMDA, anti LGI1A, anti-GAD y anti CASPR2 cuyos resultados no muestran alteraciones.

El 25 de mayo el paciente presenta un estatus epiléptico en la unidad de cuidado intermedio
por lo cual requiere intubación orotraqueal y sedación profunda, es llevado a nueva resonancia magnética en protocolo HARNESS de epilepsia. En esta se encuentra que, en comparación con la resonancia realizada el día 16 de mayo, hay una hiperintensidad de los
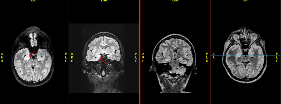
hipocampos en la secuencia T2, especialmente en el hipocampo derecho. Este hallazgo es compatible con encefalitis autoinmune.



Ilustración 2 A la derecha RM del 25 de mayo, a la izquierda RM del 16 de mayo. Se observa mayor intensidad de los hipocampos en secuencias de información T2 con respecto a la imágen obtenida el 16 de mayo.
El día 27 de mayo culmina la última administración de inmunoglobulina y para el 29 de mayo no ha habido evidencia de nuevas crisis epilépticas por lo cual se inicia el plan de extubación del paciente. En junio 04 inicia el desmonte de los medicamentos anticrisis lográndose retirar la benzodiacepina y el topiramato. Finalmente, el paciente recibe egreso el día 13 de junio con brivaracetam 100 miligramos y lacosamida 200 miligramos ambos dos veces al día. Se decide dejar seguimiento por neurología y terapia cognitiva dadas alteraciones en la memoria semántica y la de trabajo.

En seguimiento por neurología un mes posterior a la hospitalización, el paciente se encuentra en rehabilitación cognitiva intensiva, tiene mejoría de los síntomas afectivos y se
encuentra libre de crisis hasta el momento.

Encefalitis Autoinmune

La encefalitis se define como una inflamación del parénquima cerebral que puede ser causada por una variedad de enfermedades infecciosas o autoinmunes. La incidencia de encefalitis es de 5-10 por 100 '000 individuos anualmente, con mayor prevalencia en niños.

Hasta al 50% de los casos se les atribuye una etiología infecciosa; 20-30% por causas autoinmunes, y en el 20-30% restante por causas no especificadas (Vora, N. M et al, 2014).
Puede clasificarse según sus causas paraneoplásicas o inmunes primarias. La respuesta inmunitaria puede estar mediada por células o anticuerpos y puede atacar tanto la superficie celular cómo los componentes intracelulares. El inicio de los síntomas usualmente puede ser difícil de definir (Dubey, D. et al. 2018).

La encefalitis autoinmune debe sospecharse en pacientes con inicio subagudo de dificultades cognitivas o demencia rápidamente progresiva, especialmente si se asocia con
convulsiones resistentes a los medicamentos de inicio reciente, un trastorno del movimiento y evidencia de cáncer o antecedentes personales de autoinmunidad. Los fenotipos clínicos varían desde la encefalitis límbica con manifestaciones psiquiátricas prominentes hasta ataxias autoinmunes (Granerod, J. et al. 2010).

Durante el estudio de estos pacientes se debe evaluar el fenotipo clínico, los anticuerpos, la respuesta al tratamiento, el riesgo de recaída e incluir un tamizaje de detección de malignidades. Por esta razón, se recomienda cómo parte de los estudios, tomar una resonancia magnética con gadolinio, un electroencefalograma y realizar una punción lumbar diagnóstica con un panel de anticuerpos, los cuales pueden ser útiles para diagnosticar la encefalitis autoinmune, pero también pueden ser normales y su negatividad no descarta la encefalitis. Siempre se debe buscar el desencadenante inmunológico, y requiere exclusión de causas infecciosas de encefalitis, sobre todo si se piensa iniciar terapia
inmunosupresora. En el caso de sospechar una causa paraneoplásica, se debe extender el estudio incluyendo una tomografía computarizada de tórax, abdomen y pelvis. Se debe incluir una ecografía testicular para el paciente hombre, y en el caso de ser mujer, una mamografía. En ciertos casos, también podría hacerse necesario una tomografía por emisión de positrones (PET) (Dubey, D. et al. 2018).

Por lo general, se prefieren las evaluaciones de autoanticuerpos integrales pero dirigidas a
las pruebas de autoanticuerpos específicas únicas debido a los posibles síndromes clínicos
superpuestos. La especificidad y la sensibilidad de los anticuerpos pueden variar para diferentes anticuerpos, por esta razón, la seropositividad de los anticuerpos tanto en suero
como en LCR aumenta la sensibilidad diagnóstica, pero los títulos de anticuerpos negativos
no descartan la presencia de una encefalitis (Abbatemarco, et al, 2021).

Encefalitis por Anti - N-Metil-D- aspartato (Anti-NMDA)

En un estudio en 2012 en California, la frecuencia entre adultos jóvenes superó la de cualquier etiología viral individual (Gable, M. S. et al, 2012). La mediana de edad al inicio de la enfermedad es de 21 años y la gran mayoría (>80 %) son mujeres entre 18 y 45 años. Aproximadamente 20% de los pacientes que debutan con esta encefalitis presentan teratomas ováricos. También se ha descrito después de una encefalitis por el virus del herpes simple (VHS) (Linnoila, J. J. et al, 2016). Se han sugerido diferentes mecanismos fisiopatológicos en estos casos, incluida la liberación inducida por virus de NMDAR y otras proteínas neuronales, o mecanismos de mimetismo molecular (Armangue, T. et al, 2018).

Los pacientes presentan manifestaciones psiquiátricas: psicosis de inicio reciente, alucinaciones, conductas estereotipadas, agitación o catatonia que pueden diagnosticarse
erróneamente como un trastorno psiquiátrico primario. También desarrollan pérdida de la
memoria a corto plazo, seguida de convulsiones, discinesias orofaciales y cambios autonómicos cómo la hipoventilación central. Los niños y los hombres presentan con mayor
frecuencia convulsiones como manifestación inicial de su enfermedad (Dalmau, J. et al 2011).

Los hallazgos de las neuroimágenes son inespecíficos y pueden incluir áreas de alta señal
en el hipocampo, el cerebelo o los ganglios basales en secuencias ponderadas en T2/FLAIR. El electroencefalograma a menudo es anormal dado por un enlentecimiento generalizado o descargas epileptiformes. Algunos pacientes pueden presentar extreme delta brush, un signo electrográfico muy sensible para esta enfermedad (Schmitt, S. E. et al, 2012).

El tratamiento inicial a menudo se inicia con pulsos de metilprednisolona intravenosa en combinación con inmunoglobulina (IgIV) o plasmaféresis (PLEX). No hay evidencia de si es mejor o si hay un fenotipo específico que se beneficie más de estas combinaciones. En pacientes sin o con mínima mejoría clínica a las 2 a 4 semanas del inicio de las terapias iniciales, se debería proceder con terapias de segunda línea, ya sea con rituximab o ciclofosfamida (Dalmau, J. et al 2011).

La mayoría de los pacientes (80%) presentan buenos desenlaces clínicos, pero la recuperación puede llevar varios meses. Hasta un 75% de los pacientes podrían requerir estancia en la unidad de cuidados intensivos (Dalmau, J. et al 2011). En el caso de las mujeres, la ooforectomía unilateral o bilateral o cistectomía de estos teratomas está asociado con mejoría funcional de los pacientes. La resección agresiva no se ha asociado con mejores desenlaces neurológicos. Aún se desconoce cuál es el momento óptimo para realizar dicha intervención. Los factores de cada paciente y las consecuencias de dicha intervención se deben poner en consideración, sobre todo la infertilidad y la menopausia prematura. Esto puede ser aún más retador cuando contamos con una paciente con alteración del estado de consciencia en el momento de tomar decisiones terapéuticas (Tu et al, 2019).

Bibliografía

Armangué T, Saiz A, Gasull X, Soto D, Graus F, Sabater L, Dalmau J; GluK2 encephalitis
study group. Encephalitis with Autoantibodies against the Glutamate Kainate Receptors
GluK2. Ann Neurol. 2021 Jul;90(1):101-117. doi: 10.1002/ana.26098. Epub 2021 May 17.
PMID: 33949707.
Dalmau, J., Lancaster, E., Martinez-Hernandez, E., Rosenfeld, M. R., & Balice-Gordon, R.
(2011). Clinical experience and laboratory investigations in patients with anti-NMDAR
encephalitis. The Lancet Neurology, 10(1), 63-74.
Dubey, D., Pittock, S. J., Kelly, C. R., McKeon, A., Lopez‐Chiriboga, A. S., Lennon, V. A., ...
& Flanagan, E. P. (2018). Autoimmune encephalitis epidemiology and a comparison to
infectious encephalitis. Annals of neurology, 83(1), 166-177.
Linnoila, J. J., Binnicker, M. J., Majed, M., Klein, C. J., & McKeon, A. (2016). CSF herpes
virus and autoantibody profiles in the evaluation of encephalitis.
Neurology-Neuroimmunology Neuroinflammation, 3(4).
Tu, N. P., Nha, P. B., Hung, N. D., Minh, N. H., Anh, H. N., & Dinh, T. C. (2019). Treatment of
Anti-NMDA Receptor Encephalitis with Ovarian Teratoma Removal: A Literature Review and
Two Case Reports. Open access Macedonian journal of medical sciences, 7(24),
4378–4382. doi.org/10.3889/oamjms.2019.839
Schmitt, S. E., Pargeon, K., Frechette, E. S., Hirsch, L. J., Dalmau, J., & Friedman, D.
(2012). Extreme delta brush: a unique EEG pattern in adults with anti-NMDA receptor
encephalitis. Neurology, 79(11), 1094-1100.
Adjuntos:

Por favor, Identificarse para unirse a la conversación.

Moderadores: Jorge Mario Gaspar ToroJuan Pablo Ovalle Rojas
Gracias a Foro Kunena