Autores:
Falla Laura Victoria1, Cantillo Martínez Marlon Xavier1
(1) Residente de Neurología Universidad de La Sabana
Presentación del caso
Paciente femenina de 79 años, con antecedente de hipertensión arterial y diabetes mellitus no insulinorequiriente, consulta por cuadro clínico de 1 día evolución de inicio súbito, consistente en malestar general, sensación ilusoria rotacional de los objetos y alteración para la marcha dado por lateropulsión indiferente, asociado refiere cefalea de inicio progresivo, holocraneana, de intensidad severa. Al examen físico general con crisis hipertensiva, al examen neurológico, hipoproséxica, desorientada, disartria moderada, exotropía bilateral, limitación para la abducción bilateral con nistagmo en el ojo que abduce (configurando Wall-Eyed Bilated InterNuclear Ophthalmoplegia - ver imagen 1), dismetría de miembro superior derecho y disdiadococinesia derecha.
Imagen 1. Movimientos oculares donde se evidencia exotropía bilateral, limitación para la abducción bilateral
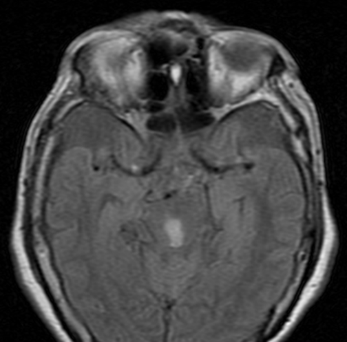
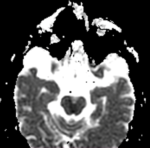
TAC de cráneo simple sin lesiones agudas, RM cerebral con imagen hiperintensa en difusión, hipointensa en ADC e hiperintensa en FLAIR a nivel de tegmento mesencefálico medial (ver imagen 2), compatible con infarto mesencefalico en etapa subaguda, no candidata a trombolisis, se realizaron estudios de factores de riesgo cardiovascular sin hallazgos significativos, se dio egreso con prevencion secundaria.
Imagen 2. RM cerebral en secuencia difusión, ADC y FLAIR
Discusión
La oftalmoplejia internuclear bilateral, tambien llamada Wall-Eyed Bilated InterNuclear Ophthalmoplegia (WEBINO), es un síndrome neuro oftalmológico poco frecuente, caracterizado por déficit para la aducción bilateral, exotropía bilateral y nistagmo en abducción; otras manifestaciones descritas al examen neuro oftalmológico son alteración en el reflejo oculovestibular vertical, nistagmo vertical, alteración para mantener la supraversión y alteración en sacadas verticales. En cuanto a la fisiopatología, la lesión se localiza en el fascículo longitudinal medial bilateral (ver figura 3), siendo este el encargado de la transducción de la señal para los movimientos oculares horizontales conjugados y el reflejo óculo vestibular. En nuestra paciente, el WEBINO fue debido a una lesión isquémica a nivel del tegmento mesencefálico paramediano, en la literatura los casos descritos por etiología isquémica siempre se localizan en tegmento mesencefálico o tegmento pontino.
Imagen 3. Lesión en el fascículo longitudinal medial bilateral puede generar WEBINO (tomada de Fiester P, et al)
Dentro de los hallazgos asociados al examen neurológico, con mayor frecuencia se describe alteración del estado de conciencia, ataxia y parálisis para la mirada vertical, esto por la relación con estructuras anatómicas adyacentes como el sistema reticular activador ascendente, pedúnculos cerebelosos superiores, el núcleo rostral intersticial del fascículo longitudinal medial y el núcleo Intersticial de Cajal; lo anterior en concordancia con los signos presentados por nuestra paciente. Se han realizado estudios retrospectivos para evaluar las etiologías del WEBINO, encontrando que la más frecuente es la esclerosis múltiple, seguido de lesiones isquémicas y mucho menos frecuentes infecciones, tumores de tallo cerebral, hidrocefalia, nutricionales, metabólicas y por tóxicos.
En conclusión, el WEBINO es un síndrome neurológico raro, cuyas principales etiologías son la esclerosis múltiple y el ACV isquémico, de este último por lesiones puntuales en tegmento pontomesencefálico. La estructura principalmente involucrada es el fascículo longitudinal medial y estructuras circundantes. El neurólogo debe estar atento a esta manifestación en casos de lesión de tallo encefalico.
Bibliografía
• Fiester P, Baig SA, Patel J, Rao D. An Anatomic, Imaging, and Clinical Review of the Medial Longitudinal Fasciculus. J Clin Imaging Sci. 2020 Dec 18;10:83. doi: 10.25259/JCIS_49_2020. PMID: 33408958; PMCID: PMC7771398
• Fiester P, Rao D, Soule E, Andreou S, Haymes D. The Medial Longitudinal Fasciculus and Internuclear Opthalmoparesis: There's More Than Meets the Eye. Cureus. 2020 Aug 23;12(

:e9959. doi: 10.7759/cureus.9959. PMID: 32983663; PMCID: PMC7510542.
• Uzawa A, Takeda Y, Kuwabara S. Wall-Eyed Bilateral Internuclear Ophthalmoplegia by Ischemic Stroke: Case Report and Literature Review. Neurologist. 2020 May;25(3):82-84. doi: 10.1097/NRL.0000000000000271. PMID: 32358467.
• Vázquez-Justes D, Martín-Cucó A, Gallego-Sánchez Y, Vicente-Pascual M. WEBINO syndrome (wall-eyed bilateral internuclear ophthalmoplegia) secondary to ischemic stroke, about a case. Arch Soc Esp Oftalmol (Engl Ed). 2020 Apr;95(4):205-208. English, Spanish. doi: 10.1016/j.oftal.2019.12.012. Epub 2020 Feb 20. PMID: 32088083.
• Wako S, Toi S, Mizuno T, Nishimura A, Ishizuka K, Kitagawa K. [A case of cardioembloic stroke with wall-eyed bilateral internuclear ophthalmoplegia (WEBINO) syndrome]. Rinsho Shinkeigaku. 2022 Jul 29;62(7):541-545. Japanese. doi: 10.5692/clinicalneurol.cn-001701. Epub 2022 Jun 24. PMID: 35753783.