Olvido el nombre de usuario?  

SÍNDROME DE FROIN SECUNDARIO A ARACNOIDITIS ADHESIVA EN UN PACIENTE CON SINDROME LINFOPROLIFERATIVO POSTRASPLANTE: REPORTE DE UN CASO

Más
3 años 1 semana antes - 3 años 1 semana antes #58 por Webmaster
Claudia Lucía Moreno López 1
Camilo Andrés Romero Hernández 1
Nathaly Cerón Blanco 2
Luis Felipe Díaz Castro 2

Introducción

El síndrome de Froin es una condición rara que se define como marcada coagulabilidad, hiperproteinorraquia y xantocromía del líquido cefalorraquideo (LCR) (1). El síndrome de Froin ocurre más comúnmente debido a la obstrucción del flujo de LCR debido a un proceso inflamatorio o condiciones neoplásicas (1). A continuación, se presenta el caso clínico de un paciente joven inmunosuprimido postrasplante hepático, con clínica y hallazgos de aracnoiditis adhesiva quien presenta Síndrome de Froin secundario.

Palabras clave: Síndrome de Froin, Xantocromía, Hiperproteinorraquia, Hipercoagulabilidad, meningitis, malignidad, siringomielia

________________________________________________________________
1) Neurólogo Fundación Cardioinfantil. Profesor clínico Neurología Universidad del Rosario
2) Residente de Neurología Universidad del Rosario


Caso clínico

Paciente de 28 años quien ingresa el 12 de octubre de 2022 por 2 semanas de Dolor nociceptivo (tipo muscular) en gastrocnemio izquierdo, no hay claridad sobre queja neuropática; dolor limita plantiflexión izquierda y la marcha. Posteriormente, a los seis días de hospitalización presenta dolor lumbar de intensidad 8/10 y debilidad progresiva a nivel distal en miembros inferiores. Como antecedentes patológicos tiene diagnóstico de colangitis esclerosante primaria, hipertensión portal cirrótica y trasplante hepático donante cadavérico en abril 2021 por lo cual se encuentra en inmunosupresión con tacrolimus 4 mg al día, micofenolato x 250 mg cada 12 horas y prednisolona 15 mg día. Como antecedente traumáticos, el paciente presentó trauma lumbar (caída de moto) cuatro meses antes del inicio el cuadro que no requirió intervención médica.

Al examen físico neurológico se encuentra alerta, funciones mentales superiores conservadas, pares craneanos sin deficit. Fuerza muscular 5/5 en miembros superiores. Reflejos: bicipital, tricipital, estilorradial bilateral: ++/++++ Miembros inferiores Iliopsoas: D: 5/5 I: 5/5 Biceps femoral: D: 5/5 I: 5/5 Cuadriceps: D: 5/5 I: 5/5 Tibial anterior: D: 5/5 I: 4/5 Peronerus longus: D 5/5 I: 4/5 Gastrocnemios: D: 5/5 I: 4/5. No alteraciones en sensibilidad superficial ni profunda. No alteraciones en la coordinación, no se encontraron signos meníngeos.

Se solicitó inicialmente Imagen de resonancia magnética (IRM) de columna lumbosacra simple y estudios de neurofisiología. La electromiografía más neuroconducciones de las 4 extremidades reportó neuropatía mielínica de expresión leve del nervio peroneo motor. Imagen de resonancia magnética lumbosacra simple muestra hallazgos compatibles con aracnoiditis adhesiva (figura 1). Ante estos hallazgos, se complementan estudios con resonancia torácica y cerebral con contraste. En la resonancia de columna torácica, se observa incipiente siringomielia (figura 2.) y la resonancia cerebral con contraste no mostró alteraciones.

Figura 1.


Figura 2


A nivel T10-T11 se identifica una lesión focal ovoide de contornos claramente definidos, de aproximadamente 10 mm de diámetro mayor, en el plano craneocaudal, de localización central en el cordón medular, hiperintensa en las imágenes. Incipiente siringomielia y alteración en la dinámica del líquido cefalorraquideo.

Se toma estudio de líquido cefalorraquídeo el 20 de octubre de 2022 con presión de apertura de 22 cmH2O Leucocitos: 37 Linfocitos: 80% Glucorraquia: 29 mg/dl (Central 134 mg/dl) Proteínas 1134 mg/dl, látex para cryptococo negativo PCR mycobacterium tuberculosis negativa. FILM ARRAY: negativo. Se decide no iniciar antibiótico dado que no hubo aislamiento de germen.

En los siguientes cuatro días se toma nuevamente líquido cefalorraquídeo de control con presión de apertura de 23 cmH2O, Leucocitos: 5 , Hematíes 590 , Glucosa 34 mg /dl (central 150 mg /dl) Proteínas 1582 mg/dl (ascenso de proteinorraquia). Sin aislamientos en cultivo ni FILM ARRAY. Citologia de líquido cefalorraquídeo NEGATIVA para malignidad.

El paciente persiste y progresa con debilidad de los miembros inferiores asociado a dolor intenso y limitación severa para la marcha. Ante deterioro marcado, ausencia de aislamientos microbiológicos, se indica inicio de terapia con metilprednisolona 1 gr endovenoso por 3 días mostrando mejoría importante de dolor en miembros inferiores, recupera marcha la cual logra realizar con apoyo. Se dio egreso hospitalario con prednisolona a razón de 1 mg/kg día para titulación ambulatoria.

A los cuatro días del egreso, reingresa a urgencias por cefalea holocraneana opresiva de intensidad 10/10 asociado a visión borrosa, múltiples episodios eméticos y debilidad severa en miembros inferiores que impide la marcha. Al examen físico se encuentra sin alteración de pares craneanos. Fuerza muscular: Miembros superiores 5/5. Miembros inferiores Iliopsoas: D: 1/5 I: 2/5 Bíceps femoral: D: 2/5 I: 2/5 Cuádriceps: D: 2/5 I: 2/5 Tibial anterior: D: 2/5 I: 2/5 Peronerus longus: D 2/5 I: 2/5 Gastrocnemios: D: 2/5 I: 5/5

Se ingresa nuevamente a hospitalización, se realiza estudio de líquido cefalorraquídeo cetrino y viscoso (figura 3) con presión de apertura de 40 cmH2O y se documenta maniobra de Queckenstedt positiva. Leucocitos 5 Hematíes: 610, Gluco: 35 (Central 122 mg/dl) Proteínas: 1610 mg/dl, Filmarray negativo, ADA: 8,6. Citología #2 de líquido cefalorraquídeo negativa para malignidad, citometria de flujo en líquido cefalorraquídeo sin linfócitos aberrantes.

Figura 3.


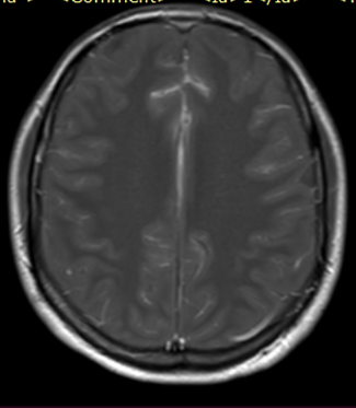
Se toman imágenes de control observando progresión de processo inflamatório a nível cerebral y a nível lumbar (figuras 4 y 5), progresión de siringomielia com afectación a nível cervical (figura 6)

Figura 4

Mayor agrupamento de raíces a nível lumbar.

Figura 5

Realce leptomeníngeo. Afectación de cisternas de la base

Figura 6


Se inició manejo sintomático com acetazolamida 250 mg cada 12 horas con mejoría del cuadro de cefalea. Se realizó biopsia de meninges con informe de patología con leve infiltrado inflamatório crónico. Se amplió estudios con PET SCAN documentándose lesiones hepáticas hipercaptantes en segmentos II y IV, de las cuales se toma estudio histopatológico compatible con linfoma de células grandes de alto grado. Se indicó nuevo ciclo de esteroides IV con mejoría de dolor en membros inferiores, sin embargo, sin mejoría en la marcha.

Discusión

El síndrome de Froin, llamado así por Georges Froin, fue descrito en 1903 como una constelación de coagulación marcada, nivel elevado de proteína y xantocromía del líquido cefalorraquideo (2). En 1921, Greenfield describió que este fenómeno obedece a la obstrucción de la circulación del líquido cefalorraquídeo y ejemplifica que en el fondo del saco lumbar el líquido se encuentra completamente “aislado” de la comunicación con el líquido ventricular y la cisterna magna (3).

Los cambios típicos se encontraron en el líquido cefalorraquideo obtenido inferior al nivel del bloqueo (3). Los cambios más prominentes se observaron en pacientes con bloqueos de LCR más completos, pero también se describieron casos de síndrome de Froin sin bloqueo subyacente de líquido cefalorraquideo ya que puede puede ocurrir como resultado de lesiones ocupantes de espacio o tumores de la columna vertebral, médula espinal o meninges, o como también debido a adherencias inflamatorias subyacentes de las meninges (3).

La coagulación del LCR se relaciona con altos niveles de proteína coagulable. Maruyama et al encuentra que la proteína coagulable en el LCR de pacientes con Síndrome de Froin, consiste en un monómero de fibrina soluble (4). No se há visto relación entre ésta hipercoagulabilidad y el nível de glucorraquia o el conteo celular del líquido cefalorraquídeo. En el caso presentado, se observa um aumento progresivo de la proteinorraquia, sin variación en la celularidad del LCR ni en la glucorraquia.

El síndrome de Froin también se ha asociado tanto con tumores malignos primarios como no primários de la médula espinal (5,6). El síndrome de Froin debido a malignidad también se puede ver sin efecto de masa asociado y se han informado en casos de carcinomatosis leptomeníngea en un paciente con melanoma (7). Se ha descrito recientemente la asociación a neoplasia hematológica, específicamente el caso de linfoma ( 8 ) y otro de los casos asociado a mieloma múltiple (1). En el caso presentado, se documentó malignidad hematológica en un paciente postrasplante hepático, sin evidencia de lesión ocupante de espacio a nivel medular ni encefálico. Esto conlleva a que es relevante realizar una búsqueda exhaustiva de neoplasia en pacientes que presenten este síndrome de manera simultánea a la búsqueda de agente infeccioso.

Debido a la infrecuencia de este síndrome, no se ha estandarizado una terapéutica específica para los síntomas secundarios a la alteración de la dinámica del líquido cefalorraquideo. En el caso reportado, se realizó tratamiento sintomático de hipertensión endocraneana con acetazolamida con lo que hubo mejoría de cefalea. No se documentó papiledema en este paciente. En cuanto a la siringomielia, que fue otra de las alteraciones generadas ante la alteración de la circulación del líquido cefalorraquideo que presenta el paciente, no hay evidencia de que medidas de derivación o liberación de adherencias aracnoideas proporcionen un beneficio al largo plazo, ni en secuelas (9).

Así mismo en cuanto al uso de esteroides a alta dosis para tratar la causa subyacente que en este caso es la aracnoiditis adhesiva, la evidencia es escasa, al igual que con el uso de otras terapias inmunosupresoras (9).

Conclusión

Ante la infrecuencia del síndrome de Froin, es relevante realizar una búsqueda exhaustiva de etiología neoplásica. Pese a los mecanismos descritos de esta patología y su implicación en el bloqueo del líquido cefalorraquideo y los síntomas que esta genera aún no se ha establecido una terapéutica para el manejo de los síntomas en estos pacientes. Por último, es incierto el papel que tienen los agentes inmunosupresores en el pronóstico de estos pacientes.
Adjuntos:
Última Edición: 3 años 1 semana antes por Webmaster.

Por favor, Identificarse para unirse a la conversación.

Moderadores: Jorge Mario Gaspar ToroJuan Pablo Ovalle Rojas
Gracias a Foro Kunena