Olvido el nombre de usuario?  

Encefalitis del tronco encefálico, síndrome cerebeloso y perineuritis óptica bilateral por anti-Ma2 asociado a adenocarcinoma gástrico: Reporte de caso

Más
3 años 2 meses antes #57 por Webmaster
Valentina Serna Loaiza, Andrea Carolina Ibáñez Acosta, Duvan Arley Jimenez Trespalacios


Presentación del caso


Hombre de 52 años, previamente independiente en actividades de la vida diaria. con antecedente de hipertensión arterial, tabaquismo activo y adenocarcinoma gástrico difuso poco diferenciado IIIC HER2 negativo diagnóstico en diciembre de 2021. En enero de 2022 se realizó gastrectomía total con linfadenectomía retroperitoneal y se inició quimioterapia adyuvante con FOLFOX6 de la cual recibió 4 ciclos hasta mayo de 2022 donde fue suspendida por sospecha de progresión tumoral. Sus síntomas comienzan en julio de 2022 con disminución de la agudeza visual progresiva inicialmente de ojo derecho posteriormente ojo izquierdo, asociado a cefalea y pérdida del equilibrio.

En el examen inicial se encontraron signos vitales normales. En el examen neurológico, exotropia derecha, oculomotores conservados, isocoria de 3mm, defecto pupilar aferente relativo derecho, agudeza visual derecha percepción de luz, izquierda 20/40 con corrección, ishihara 1/16 y desaturación del rojo. Al fondo de ojo con borramiento del nervio óptico bilateral y hemorragias en astilla en ojo izquierdo. Pares bajos conservados. Dismetría izquierda, disdiadococinesia izquierda, marcha atáxica, tándem con lateralización a la izquierda. Ante la sospecha de síndrome paraneoplásico, se instauró un curso de tratamiento con megadosis de metilprednisolona e inicio de plasmaféresis con mejoría tanto en la marcha como en agudeza visual.

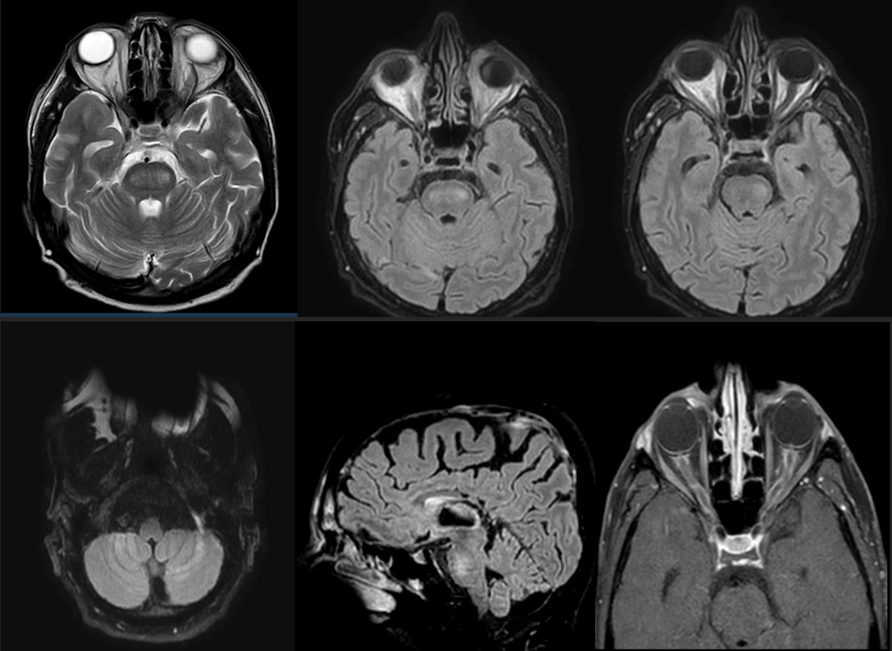
Los paraclínicos iniciales no mostraron anormalidades hematológicas ni hidroelectrolíticas. La función renal, hepática y el perfil de infecciosas y autoinmunidad fueron negativos, anticuerpos anti-AQP4 y anti-MOG negativos, estudio de LCR de características inflamatorias con proteinorraquia de 100 mg/dl y pleocitosis de 29 células con predominio mononuclear, estudios adicionales de LCR de citología, citometría y perfil infeccioso negativo. La resonancia cerebral mostró perineuritis óptica con edema de disco bilateral, lesiones hiperintensas en T2 y FLAIR en protuberancia y ambos hemisferios cerebelosos. (Figura 1). Posteriormente se confirma síndrome paraneoplásico anti-Ma2 con resultado de panel de 12 antígenos por inmunoblot de síndromes neurológicos paraneoplásicos que mostró anti-Ma2 positivo alto. Se reinició quimioterapia sistémica, con buena tolerancia.



Figura 1. A. RMN cerebral axial T2: Lesión hiperintensa en protuberancia B,C,D. RMN cerebral axial FLAIR: Lesiones hiperintensas en protuberancia y ambos hemisferios cerebelosos E. RMN cerebral sagital FLAIR: Lesión hiperintensa en protuberancia F. RMN órbitas axial T1 con gadolinio: Perineuritis con edema de disco óptico bilateral.


Discusión


Los síndromes neurológicos paraneoplásicos (SNP) son un grupo heterogéneo de trastornos causados por los efectos remotos del cáncer con patogénesis inmunomediada. El anticuerpo anti-Ma2 se definió como uno de los anticuerpos onconeuronales bien caracterizados que podría ayudar a establecer un diagnóstico definitivo de SNP, ya que es altamente específico para esta entidad incluso en ausencia de detección tumoral.

Los principales síndromes paraneoplásicos relacionados con anti-Ma2 son la encefalitis límbica, diencefálica o del tronco encefálico, generalmente combinando varias áreas de compromiso. La encefalitis paraneoplásica del tronco encefálico provoca una variedad de déficits que resultan de una degeneración inflamatoria de la parte inferior del tronco encefálico, que típicamente afecta las olivas inferiores y los núcleos dorsales del bulbo raquídeo. La presentación de estos síndromes precede en el 62% de los casos al diagnóstico del cáncer con una mediana de 6 meses, lo que complica en ocasiones su reconocimiento (1).

Estos se presentan usualmente en hombres menores de 50 años con tumores testiculares de células germinales (2). En hombres y mujeres mayores, el cáncer de pulmón de células no pequeñas es más común, pero se ha informado que hay varios tipos de cáncer asociados sobre todo en casos en los que coexiste con anti-Ma1 (3).

Cabe destacar que es frecuente que se retrase el diagnóstico de esta entidad ya que hasta el 70% de los casos se presentan con cuadros clínicos diferentes a los del SNP clásico presentando una amplia gama de síntomas, incluyendo somnolencia excesiva, anomalías en los movimientos oculares (hasta en el 92% de los casos) o alteración psiquiátrica pura (4) Aquellos pacientes que tienen coexistencia de anti-Ma1 es frecuente el desarrollo de ataxia y un peor pronóstico que los que tienen anti-Ma2 aislado (1).

La perineuritis óptica es un SNP muy raro con apenas escasos reportes de casos asociada a anti-Ma2. Se debe aumentar la sospecha en compromiso bilateral (hasta en el 70% de estos casos) y el hallazgo de perineuritis óptica en la que se evidencia captación del contraste alrededor en lugar de dentro del nervio óptico en la resonancia magnética. Se ha evidenciado que el inicio precoz de esteroide en esta entidad es esencial para prevenir la pérdida visual irreversible y los ataques recurrentes a diferencia de la neuritis óptica sin perineuritis en la cual los esteroides no afecta el resultado final (5).

La encefalitis anti-Ma2 a diferencia de otros SNP asociados a otros anticuerpos intracelulares tiene una tasa de respuesta al tratamiento incluida la inmunoterapia y/o el tratamiento del tumor relativamente alta. Aproximadamente 30% muestra mejoría neurológica y otro 20 - 40% se estabiliza. Este hecho enfatiza la importancia del diagnóstico temprano y el pronto inicio de la terapia (3)

Describimos el caso de un paciente con antecedente de adenocarcinoma gástrico con una presentación inusual de síndrome paraneoplásico anti Ma-2 el cual debutó con perineuritis óptica bilateral asociada a edema de disco óptico, síndrome cerebeloso y encefalitis del tronco encefálico. La neuritis óptica y el síndrome cerebeloso son una manifestación atípica de la misma con solo algunos reportes de casos en la literatura y ninguno de ellos asociado a adenocarcinoma gástrico.


Referencias:
1. Dalmau J, Graus F, Villarejo A, Posner JB, Blumenthal D, Thiessen B, Saiz A, Meneses P, Rosenfeld MR. Clinical analysis of anti-Ma2-associated encephalitis. Brain. 2004 Aug;127(Pt 8):1831-44.
2. Guo Y, Cai MT, Lai QL, Zheng Y, Shen CH, Zhang YX. Anti-Ma2 Antibody-Associated Paraneoplastic Neurological Syndromes: A Pilot Study. Brain Sci. 2021 Nov 29;11(12):1577.
3. Yamamoto T, Tsuji S. [Anti-Ma2-associated encephalitis and paraneoplastic limbic encephalitis]. Brain Nerve. 2010 Aug;62(8):838-51. Japanese.
4. Targonska B, Frost J, Prabhu S. Anti-Ma2-antibody-associated encephalitis: An atypical paraneoplastic neurologic syndrome. SA J Radiol. 2018 May 17;22(1):1310.
5. Cheung SSL, Lau GKK, Chan KH, Wong IYH, Lai JSM, Tang WK, Shih KC. Neuritis óptica como presentación clínica inicial de encefalitis límbica: reporte de un caso. J Med Case Rep. 2018 3 de diciembre; 12 (1): 357.
Adjuntos:

Por favor, Identificarse para unirse a la conversación.

Moderadores: Jorge Mario Gaspar ToroJuan Pablo Ovalle Rojas
Gracias a Foro Kunena