Olvido el nombre de usuario?  

Síndrome de Sneddon: una forma de compromiso del SNC por Síndrome antifosfolípidos.

Más
3 años 6 meses antes - 3 años 6 meses antes #55 por Webmaster
Daniel Torres (1), Carolina Salazar (1) , Jennyfer Martínez (1)

(1) Fundación Universitaria de Ciencias de la salud, Hospital Infantil de San José.

Presentación de caso clínico

Paciente femenina de 36 años, con lateralidad diestra, quien consulta por cuadro clínico de 10 días de evolución consistente en cefalea bitemporoparietal, de carácter opresiva, de intensidad moderada a severa, sin irradiación, no se exacerbaba con maniobras de Valsalva o cambios posicionales, pero asociado a sensación de ilusión rotacional, sin otro síntoma asociado. Paciente negaba historia previa de cefalea.

En revisión por sistemas, describió la presencia de fenómeno de Raynaud, además de lesión ulcerosa en cara interna de la pierna derecha 3 meses previo al ingreso, dolorosa, con eritema, sin signos de infección asociados.
Negó pérdida de cabello, no presencia de ulceras orales o genitales, sin pérdida de peso, tampoco xerostomía, xeroftalmia o xerodermia.

Como antecedentes patológicos refirió diagnóstico en el 2009 de lupus eritematoso sistémico (LES) el cual se asoció con síndrome nefrótico y pericarditis y se encontraba sin tratamiento al momento de la consulta; trombosis venosa profunda en miembro inferior derecho en el año 2002 y de miembro inferior izquierdo en el año 2004, ataque cerebrovascular isquémico parietal izquierdo en el año 2011 sin secuelas y epilepsia focal estructural. Como antecedentes gineco obstétricos la paciente presentó dos abortos un en el 2012 a las 6 semanas, pero inducido y otro en el año 2017 de igual forma a las 6 semanas, pero en esta ocasión fue espontáneo.

Al examen físico general, con signos vitales sin alteraciones, se documentó la presencia de livedo reticularis (Figura 1) y lesión ulcerosa en región medial de la pierna derecha (Figura 2).

Al examen neurológico no se documentó algún signo de focalización.

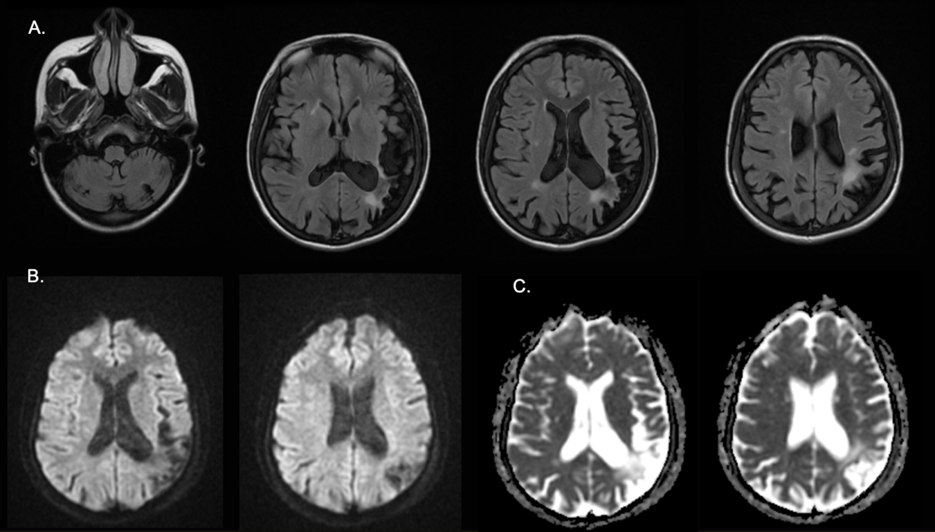
Se considero paciente con cefalea secundaria a trastorno vascular intracraneal, por lo que se realizó RMN cerebral simple + angiorresonancia evidenciando múltiples infartos antiguos, sin signos que sugirieran vasculitis o trombosis agudas arterial o venosa. (Figura 3)

Se completaron estudios de autoinmunidad, con resultados que evidenciaban perfil de SAF (síndrome antifosfolípidos) positivo [Cardiolipinas IgM >120 U/ml, IgG <2 U /ml (negativo), B2 glicoproteína IgM 13,2 U/ml (positivo), IgG > 100 U/ml (positivo) y anticoagulante lúpico (DRVVT) 1.23].

Se realizó biopsia de la lesión de la ulcera con hallazgos de púrpura eccematoide sobre cambios de dermatitis de estasis probablemente de origen vascular y con p-ANCA y c-ANCA negativos.

Fue valorada por el servicio de medicina interna quienes inician tratamiento para LES con corticoide y antimalárico.
La paciente resuelve la cefalea posteriormente.

Por lo antes mencionando se diagnosticó a la paciente con síndrome antifosfolípidos con presentación de Síndrome de Sneddon y se inició anticoagulación.


Figura 1. Livedo reticularis (J. Castillo, enfermedades vasculares cerebrales, 2018)


Figura 2. Lesión ulcerada (imágen de la paciente)


Figura 3. Resonancia magnética cerebral- (A) FLAIR, ( B ) DWI, (C) ADC.

DISCUSIÓN


El síndrome de Sneddon (SS) es un trastorno lentamente progresivo que se caracteriza por aparición de livedo generalizado cuya característica se da por aparición de parches violáceos asociado a Ataques cerebrovasculares recurrentes. Se estima que cerca del 80% de los pacientes con Sneddon son mujeres con una edad de diagnóstico de 40 años. Sin embargo, se han informado casos de aparición de la enfermedad durante edades más tempranas. Como tal, se desconoce la patogenia del Síndrome de Sneddon, aunque se plantean dos mecanismos principales siendo el primero autoinmune/inflamatorio vs trombofilia. (1)

Se plantea que un proceso autoinmune adquirido también podría inducir un daño endotelial similar y un proceso trombótico posterior, donde la aparición de esta enfermedad en mujeres, especialmente durante los años más fértiles, así como ocurre en otras enfermedades como LES. (1), (2)

El síndrome de Sneddon se clasifica como positivo o negativo para antifosfolípidos. Las manifestaciones neurológicas generalmente se presentan en 3 fases: La primera con síntomas prodrómicos como cefalea y vértigo; la segunda como ACV recurrentes y la tercera como demencia de aparición temprana. (1) (3)
En la primera fase, las cefaleas pueden simular cefaleas primarias como patrón debido a tensión y en algunos casos trigémino autonómicas como hemicráneas continuas.
En la segunda fase, los episodios recurrentes de déficit neurológico focal como por ejemplo los síntomas sensitivo motores son la forma de presentación más común al igual que el compromiso del lenguaje, en el contexto de AIT o ACV siendo el territorio vascular principalmente afectado el de la ACM y PICA. (1), (3), (4)
En un estudio realizado en Francia con 20 pacientes con diagnóstico de Síndrome antifosfolípidos todas sexo femenino, se documentó que el compromiso neurológico dado por ACV- AIT se presentó en el rango de edades entre 22 a 58 años. El déficit neurológico más frecuente fue compromiso motor así como también afasia. (3)

Sin embargo, los ACV isquémicos no es la única forma de presentación, también se han documentado sangrados primarios como hemorragia intracraneal, hemorragia intraventricular, hemorragia subaracnoidea difusa y hematoma subdural. Se plantea que el compromiso hemorrágico puede estar relacionado con ruptura de vasos colaterales secundario a estenosis/ oclusión principalmente de ACM, aunque también la hemorragia secundaria puede presentarse durante el tratamiento con un agente antiplaquetario o antitrombótico (5).

Durante la tercera fase, se observa un deterioro cognitivo importante, sin embargo, se han informado casos de demencia por ACV recurrentes subclínicos sin episodios anteriores de déficits neurológicos focales. De igual forma se han descrito síntomas psicóticos e ideación suicida. Los síntomas psiquiátricos de inicio tardío sin antecedentes personales o familiares relevantes o delirium en pacientes con Sneddon pueden apuntar al diagnóstico de psicosis relacionada con su patología, en lugar de un trastorno psicótico primario. (1), (2)

Por otro lado, se han descrito crisis ictales en pacientes con síndrome de Sneddon en su mayoría secundarias a lesiones estructurales como ACV isquémicos. Otra de las manifestaciones que se puede presentar corresponde a los trastornos del movimiento los cuales son poco frecuentes, siendo los principales coreas, temblores y ataxias. (1)

Como tal, no existe un marcador biológico específico para el diagnóstico del Síndrome de Sneddon. Los pacientes que inicialmente presentan solo Lívedo deben someterse a pruebas para descartar otras etiologías relacionadas para ampliar los diagnósticos diferenciales. De igual forma, los pacientes que consultan posterior a un ACV, deben someterse a un estudio completo que incluya neuroimagen para descartar otras causas de ACV en adulto joven. (1), (3).

Se ven tres patrones topográficos diferentes de ACV isquémicos los cuales incluyen córtico-subcortical comprometiendo grandes territorios vasculares secundario a la oclusión de vaso proximal; compromiso córtico-subcortical distal de menor tamaño secundario a afectación de una perforante distal superficial y un patrón más raro con compromiso profundo de sustancia blanca debido afectación de la arteria perforante profunda. siendo este similar a ACV lacunar de origen hipertensivo. Usualmente se presentan a nivel supratentorial, siendo poco frecuentes las infratentoriales principalmente cerebelosas. (4)

Dentro de los estudios de estratificación se encuentra el doppler carotídeo en donde usualmente se puede evidenciar microembolias clínicamente silenciosas aunque es probable que los pacientes con Sneddon en su mayoría tengan trombosis in situ de un vaso cerebral en lugar de embolia arterioarterial o cardioembólica. (1), (4)

El tratamiento del Síndrome de Sneddon se basa principalmente en informes anecdóticos. Como tal no ha habido estudios prospectivos controlados para guiar la terapia. Los anticonceptivos que contienen estrógenos se han asociado con Sneddon, pero su efecto sobre el inicio o la progresión de la enfermedad aunque no es claro. Los informes anecdóticos sugieren una posible mejoría de los síntomas neurológicos después de la interrupción de los anticonceptivos. Se sospecha que varios otros factores, como el embarazo, el tabaquismo, la diabetes mellitus, la aterosclerosis y la hiperlipidemia, son factores de riesgo potenciales, pero falta evidencia concluyente que vincule estos factores de riesgo con la progresión de la enfermedad. Sin embargo, es recomendable controlar los factores de riesgo potencialmente modificables (1), (2), (4)

En cuanto a los agentes antiplaquetarios y antitrombóticos se utilizan para la profilaxis secundaria del accidente cerebrovascular. Los pacientes con Sneddon con síndrome antifosfolípidos positivo se tratan como SAF primario y se recomienda el tratamiento con dosis altas de agentes antitrombóticos para disminuir el riesgo de trombosis. En esta situación es preferible la warfarina en dosis altas con INR entre 3 a 4 individualizando el perfil de cada paciente y evaluando el riesgo de sangrado. Aunque, el tratamiento del Sneddon con antifosfolípidos negativo es más controvertido, donde ambos agentes antiplaquetarios como aspirina y clopidogrel y cumarínico pueden tener una eficacia similar en la prevención de ACV recurrentes en pacientes con antifosfolípidos negativos. De igual forma se ha documentado que las terapias antiinflamatorias o inmunosupresoras como los corticosteroides y la azatioprina generalmente no son beneficiosas, de igual forma se han realizado estudios comparativos con los nuevos anticoagulantes orales encontrando una alta tasa de recurrencia de fenómenos trombóticos. (1), (3), (4)

El pronóstico neuropsiquiátrico del Sneddon es relativamente pobre. Aunque el déficit motor generalmente mejora con el tiempo y no causa una discapacidad grave, después de un período variable, la demencia y el deterioro cognitivo se establecen para producir una discapacidad de moderada a grave. El déficit cognitivo se correlaciona con las características de atrofia cortical en la resonancia magnética, que puede tener un predominio de la región parieto-occipital. La tasa de empeoramiento cognitivo varía de un paciente a otro, pero tal vez dependa del número de ACV recurrentes y de la tasa de atrofia cerebral. En general, el pronóstico cognitivo del Sneddon es pobre en comparación con otras condiciones no progresivas asociadas a ACV en adultos jóvenes. (4)


BIBLIOGRAFÍA

1. Samanta, D., Cobb, S. and Arya, K., 2022. Sneddon Syndrome: A LA, K., LA, D., EN, A. and AA, N.

2. 2022. [Neurological appearances of primary antiphospholipid syndrome]. [online] PubMed. Available at: < pubmed.ncbi.nlm.nih.gov/15986822/ > [Accessed 31 August 2022]. Overview.

3. Starmans, N., van Dijk, M., Kappelle, L. and Frijns, C., 2022. Sneddon syndrome: a comprehensive clinical review of 53 patients.

4. Kong, S., Azarfar, A. and Bhanusali, N., 2022. Sneddon syndrome: under diagnosed disease, complex clinical manifestations and challenging diagnosis. A case-based review.

5. Killeen, T., Wanke, I., Mangiardi, J. and Cesnulis, E., 2022. Ruptured, fusiform, distal lenticulostriate aneurysm causing intraventricular haemorrhage in a patient with antiphospholipid-negative Sneddon's syndrome.
Adjuntos:
Última Edición: 3 años 6 meses antes por Webmaster.

Por favor, Identificarse para unirse a la conversación.

Moderadores: Jorge Mario Gaspar ToroJuan Pablo Ovalle Rojas
Gracias a Foro Kunena