Olvido el nombre de usuario?  

Caso clínico Universidad Militar Nueva Granada

Más
3 años 7 meses antes #52 por Webmaster
Juan Sebastian Montoya Morales1, David Santiago Poveda Rodriguez1, Harold Kenneth Tovar Díaz1; Lina María Lancheros Pineda1.

1. Residente de Neurología. Universidad Militar Nueva Granada. Hospital Militar Central.

Paciente femenina de 39 años, sin antecedentes patológicos, consulta por cuadro clínico de 5 días de evolución de dificultad súbita para la emisión del lenguaje oral y escrito. Examen físico y signos vitales normales, al examen neurológico lenguaje fluido, comprende, con alteración en repetición y dictado, asociado a parafasias fonológicas, nominación preservada y dislexia; no signos de disfunción pares craneales, sin signos motores, sensitivos o cerebelosos, marcha normal, no signos meníngeos.

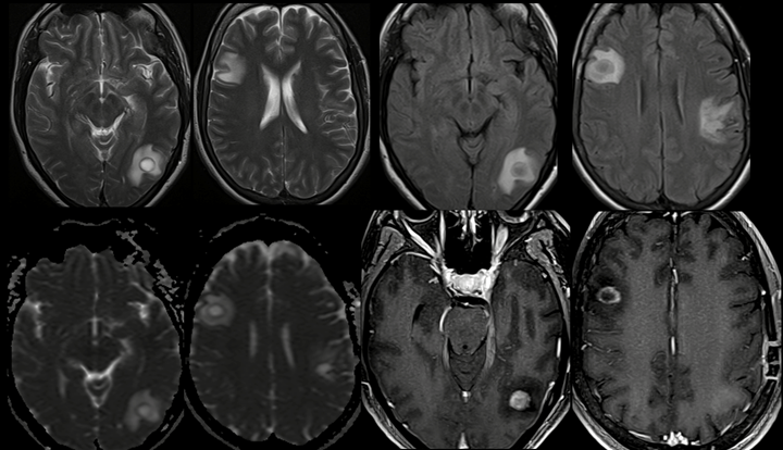
En el enfoque del paciente con síndrome súbito de alteración del lenguaje dado por afasia de conducción, se descarta síndrome neurovascular agudo en estudio imagenológico (ver figura 1), con hallazgo de lesión tipo masa frontoparietal izquierda con edema vasogénico que capta medio de contraste paramagnético en su periferia. En estudios de extensión con líquido cefalorraquídeo normal, film array negativo, gene xpert ultra TB negativo, ADA 2.17, HIV negativo y perfil autoinmunidad normal.


Se indican estudios de compromiso tumoral con reporte de biopsia guiada por estereotaxia que reporta tejido cerebral con severos infiltrados de histiocitos espumosos, negativo para tumor y vasculopatía. Se considero sospecha de enfermedad desmielinizante, con resonancia de neuroeje normal, se inicia pulsos de metilprednisolona por 5 días con mejoría clínica y se da egreso con reportes pendientes de bandas oligoclonales, anti-NMO y anti-MOG. Posteriormente a los 20 días del inicio del cuadro clínico, consulta por múltiples episodios de crisis focales sin alteración del estado de conciencia motor de inicio clónias en cara con postura tónica en flexión en miembro superior derecho. A la exploración neurológica con alteración de la sensibilidad en miembro superior derecho de todas las modalidades sensitivas. Se realiza neuroimagen control (ver figura 2), con videoEEG normal y reporte de bandas oligoclonales tipo II, anti-NMO y anti MOG negativo. Se considera cuadro sugestivo de esclerosis múltiple tumefacta y se inicia tratamiento con Rituximab dado recurrencia 1 y Carbamazepina para la epilepsia focal estructural.


DISCUSIÓN: ESCLEROSIS MULTIPLE TUMEFACTA

EM tumefacta es un término utilizado cuando la presentación clínica y/o los hallazgos de la resonancia magnética son indistinguibles de un tumor cerebral 1. Las lesiones desmielinizantes tumefactas se definen como lesiones de sustancia blanca grandes (> 2 cm) con poco efecto de masa o edema vasogénico, con realce anular incompleto1. Las características clínicas y de imagen de estas lesiones desmielinizantes pueden simular tumores cerebrales primarios y secundarios, abscesos cerebrales, tuberculoma y otros trastornos inflamatorios, por ejemplo, vasculitis, sarcoidosis, síndrome de Sjogren primario, Behcet y LES 1. Como resultado, la EM tumefacta es frecuentemente mal diagnosticada.

SINDROMES CLINICOS: DEBUT VARIABLE2

Las lesiones sintomáticas se presentan de forma aguda o subaguda, y las presentaciones clínicas varían según el tamaño, ubicación de la lesión y el grado de efecto de masa. La hemiparesia o hemiplejia son los síntomas de presentación más comunes (67%). Sin embargo, también pueden presentarse otros síntomas como afasia, cefalea, trastornos visuales y cognitivos y trastornos sensitivos.2

En la mayoría de los casos no se requiere Biopsia





Los esteroides tienen efectos beneficiosos en la reducción de lesiones, aunque la respuesta a los esteroides no es universal. Sólo la mitad pacientes tratados con esteroides de acuerdo a revisión de literatura, tuvieron una reducción en tamaño de la lesión, donde 75% de las lesiones mejoraron en 4 meses. Sin embargo, la respuesta a los esteroides fue incompleto, ya que el 38,5% de los pacientes tenían déficits neurológicos residuales y el 8% no mejorar en absoluto5. Las terapias inmunosupresoras exhiben un beneficio terapéutico sin embargo aún a la fecha continua en estudio dado su heterogeneidad. En cuanto a los tratamientos a largo plazo aplicados tras la administración de corticoides en la fase aguda, las terapias dirigidas a las células B han demostrado ser muy eficaces, especialmente en los casos recurrentes4.



BIBLIOGRAFIA

1. Vakrakou AG, Tzanetakos D, Argyrakos T, Koutsis G, Evangelopoulos ME, Andreadou E, Anagnostouli M, Breza M, Tzartos JS, Gialafos E, Dimitrakopoulos AN, Velonakis G, Toulas P, Stefanis L, Kilidireas C. Recurrent Fulminant Tumefactive Demyelination With Marburg-Like Features and Atypical Presentation: Therapeutic Dilemmas and Review of Literature. Front Neurol. 2020 Jun 30;11:536.
2. Suh CH, Kim HS, Jung SC, Choi CG, Kim SJ. MRI Findings in Tumefactive Demyelinating Lesions: A Systematic Review and Meta-Analysis. AJNR Am J Neuroradiol. 2018 Sep;39(9):1643-1649.
3. Nakayama M, Naganawa S, Ouyang M, Jones KA, Kim J, Capizzano AA, Moritani T. A Review of Clinical and Imaging Findings in Tumefactive Demyelination. AJR Am J Roentgenol. 2021 May 19:1-12.
4. Vakrakou AG, et al Clinico-radiologic features and therapeutic strategies in tumefactive demyelination: a retrospective analysis of 50 consecutive cases. Ther Adv Neurol Disord. 2021 May 18;14:17562864211006503.
5. Brod SA, Lindsey JW, Nelson F. Tumefactive demyelination: Clinical outcomes, lesion evolution and treatments. Mult Scler J Exp Transl Clin. 2019 Jun 18;5(2):2055217319855755.
Adjuntos:

Por favor, Identificarse para unirse a la conversación.

Moderadores: Jorge Mario Gaspar ToroJuan Pablo Ovalle Rojas
Gracias a Foro Kunena