Olvido el nombre de usuario?  

caso clínico octubre de 2020

Más
5 años 3 meses antes #34 por Webmaster
caso clínico octubre de 2020 Publicado por Webmaster
Andrea Martínez-Reyesab, Julián Santanaab, Óscar Bris-Fernándezb, Andrés Felipe Cárdenasb , Carolina García-Alfonsoa

aUnidad de Neurología, Hospital Universitario San Ignacio
bFacultad de Medicina, Pontificia Universidad Javeriana

CASO CLÍNICO

Hombre de 78 años con cuadro de 4 años de fiebre nocturna, valorado ambulatoriamente por infectología, oncología y reumatología quienes descartan etiologías infecciosas o tumorales, pero en estudios autoimunes se encuentra anti-Ro positivo moderado en 63,5 mg/dl. Consulta a urgencias por cuadro de 4 meses de cefalea moderada bifrontal, opresiva, asociado a disminución de agudeza visual bilateral de predominio izquierdo. Ingresa estable, afebril, al examen neurológico se encuentra hipoprosexia, pensamiento concreto, agudeza visual del ojo izquierdo en cuenta dedos a 5cm y derecho en 20/400, marcha inestable y anteropulsión.

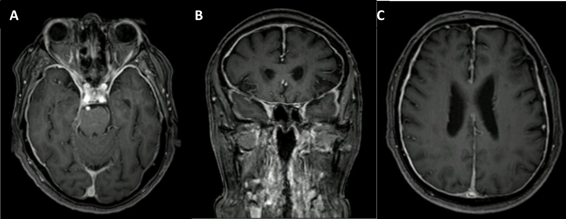
Se realizó resonancia cerebral con gadolinio que muestra paquimeningitis difusa de predominio supratentorial (Imagen 1), punción lumbar con pleocitosis (15 células) linfocitaria (98%), hiperproteinorraquia (92 mg/dl), sin hipoglucorraquia, perfil infeccioso negativo, citología y citometría de flujo negativos. Anticuerpos anti-MPO (p-ANCA) fueron positivos, sin embargo, sin cumplir criterios para vasculitis asociada a ANCA, y estudio con inmunoglobulinas séricas incluyendo IgG4, las cuales fueron normales. Se realizó además biopsia meníngea que mostró marcado engrosamiento y fibrosis con denso infiltrado linfoplasmocitario y células gigantes multinucleadas, sin observarse granulomas, y la inmunohistoquímica mostró IgG4 positiva en 124 células plasmáticas por lo que se consideró paquimeningitis por IgG4. Recibió manejo con pulsos de metilprednisolona, y se continúo manejo con azatioprina y prednisolona ambulatorias con mejoría progresiva de la cefalea y la agudeza visual, en plan de iniciarse rituximab.


Imagen 1. RM cerebral con Gadolinio: Engrosamiento liso y realce meníngeo dural difuso de predominio en la región supratentorial, involucrando la región de los canales óticos con posible compresión leve de los nervios, en corte axial (A y C) y coronal (B).


La enfermedad esclerosante relacionada con IgG4 (ER-IgG4) representa un subconjunto de los casos de paquimeningitis hipertrófica diagnosticados previamente como idiopáticos. Se ha descrito superposición entre vasculitis asociada a ANCA y la ER-IgG4, con manifestaciones como nefritis tubulointersticial, periaortitis y fibrosis prevertebral. Esta superposición también se ha descrito en casos de PHR-IgG4, con anticuerpos anti-mieloperoxidasa positivos


BIBLIOGRAFÍA

1. De Virgilio A, de Vincentiis M, Inghilleri M, et al. Idiopathic hypertrophic pachymeningitis: an autoimmune IgG4-related disease. Immunol Res. 2017 Feb;65(1):386-394.
2. Hassan KM, Deb P, Bhatoe HS. Idiopathic hypertrophic cranial pachymeningitis: Three biopsy-proven cases including one case with abdominal pseudotumor and review of the literature. Ann Indian Acad Neurol. 2011;14(3):189–193.
3. Stone JH, Zen Y, Deshpande V. IgG4-related disease. N Engl J Med. 2012;366:539–51.
Adjuntos:
El siguiente usuario dijo gracias: Carolina Restrepo, Darwin Narvaez

Por favor, Identificarse para unirse a la conversación.

Moderadores: Jorge Mario Gaspar ToroJuan Pablo Ovalle Rojas
Gracias a Foro Kunena